Before and after Invisalign

Costing from £2,500

Align crooked, uneven teeth and overbites with Platinum Providers of Invisalign in London, Mint Dental Clinic in SE1.

Invisalign Go | Invisalign Full | Invisalign i7

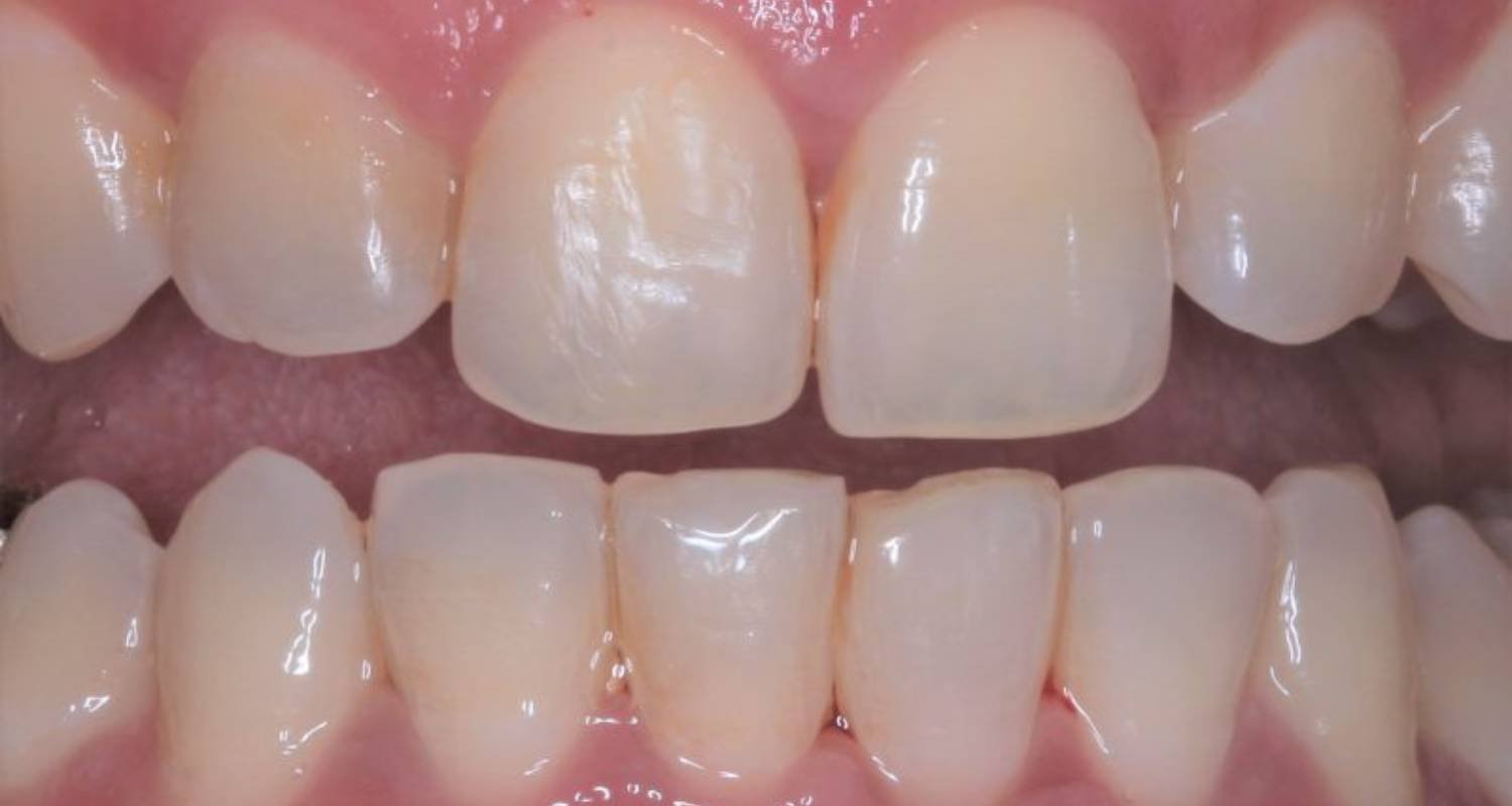
  • Clinical case: Invisalign was used here to straighten this patient’s teeth. She did not like the position of her lower teeth and also found it very difficult to clean between them. Just 18 weeks later we achieved a fantastic result.
Before After before invisalignafter invisalign
Before After invisalign to close gap beforeinvisalign to close gap after
Before After invisalign pre opinvisalign post op
Before After invisalign for overbite beforeinvialign for overbite after
Before After invisalign for crooked teeth beforeinvisalign for crooked teeth after

Christmas Hours

  • Wed, 24th December: 9:00 AM – 1:30 PM
  • Thurs, 25th December: Closed (Christmas Day)
  • Fri, 26th December: Closed (Boxing Day)
  • Sat & Sun, 27th & 28th December: Closed
  • Mon, 29th December: 9:00 AM – 1:00 PM
  • Tues, 30th December: 9:00 AM – 1:30 PM
  • Wed, 31st December: Closed (New Year’s Eve)
  • Thurs, 1st January: Closed (New Year’s Day)
  • Fri, 2nd January: 9:00 AM – 1:00 PM
  • 24 Dec: 9:00 AM – 1:30 PM
  • 25 Dec: Closed 
  • 26 Dec: Closed 
  • 27-28th Dec: Closed
  • 29 Dec: 9:00 AM – 1:00 PM
  • 30 Dec: 9:00 AM – 1:30 PM
  • 3 Dec: Closed
  • 1 Jan: Closed
  • 2 Jan: 9:00 AM – 1:00 PM