New patients can receive 10% off their next hygiene appointment when they book their first check-up online or by phone. Quote HYG10.
Our dental clinic in London offers patients advanced preventive solutions, general dental treatment, and emergency care.
Our wide range of general dentistry treatment options restores and maintains the foundations of your smile, helping your teeth stay healthier for longer.
All aspects of general dentistry are offered here at Mint Dental Clinic, helping patients stay on top of their oral hygiene, maintain healthy smiles, and prevent serious dental problems that can often lead to tooth loss.
Existing patients can book a continuing care exam, charged at £50 which includes two x-rays. More.
Remove surface stains and maintain a healthy oral foundation to support teeth in the long term. More.
Think your tooth is beyond saving? Is it infected or painful? Learn more about how we can help retain your tooth.
Nervous patients can benefit from our relaxation techniques or sedation options. More.
White Fillings | Lost Fillings
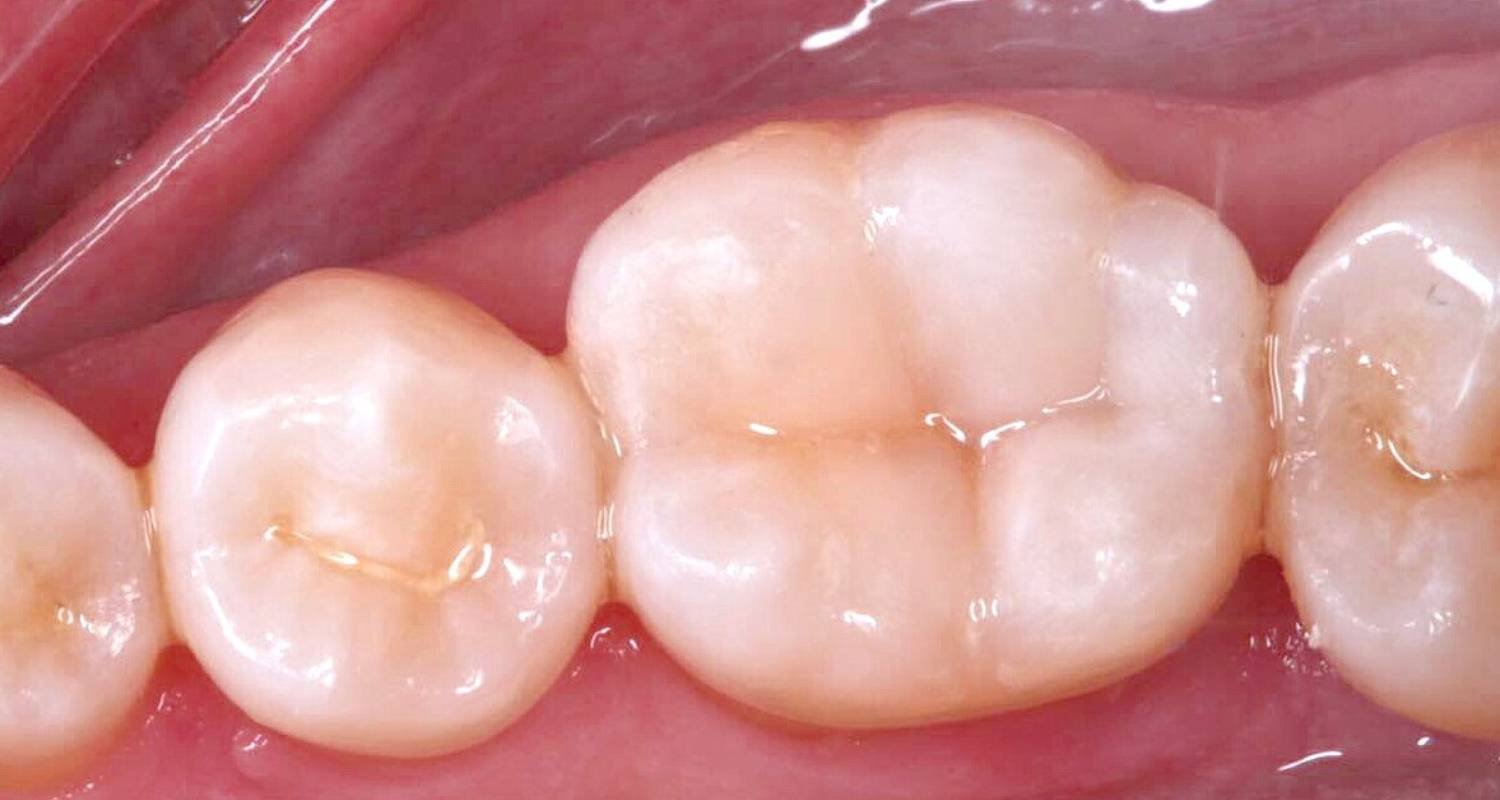
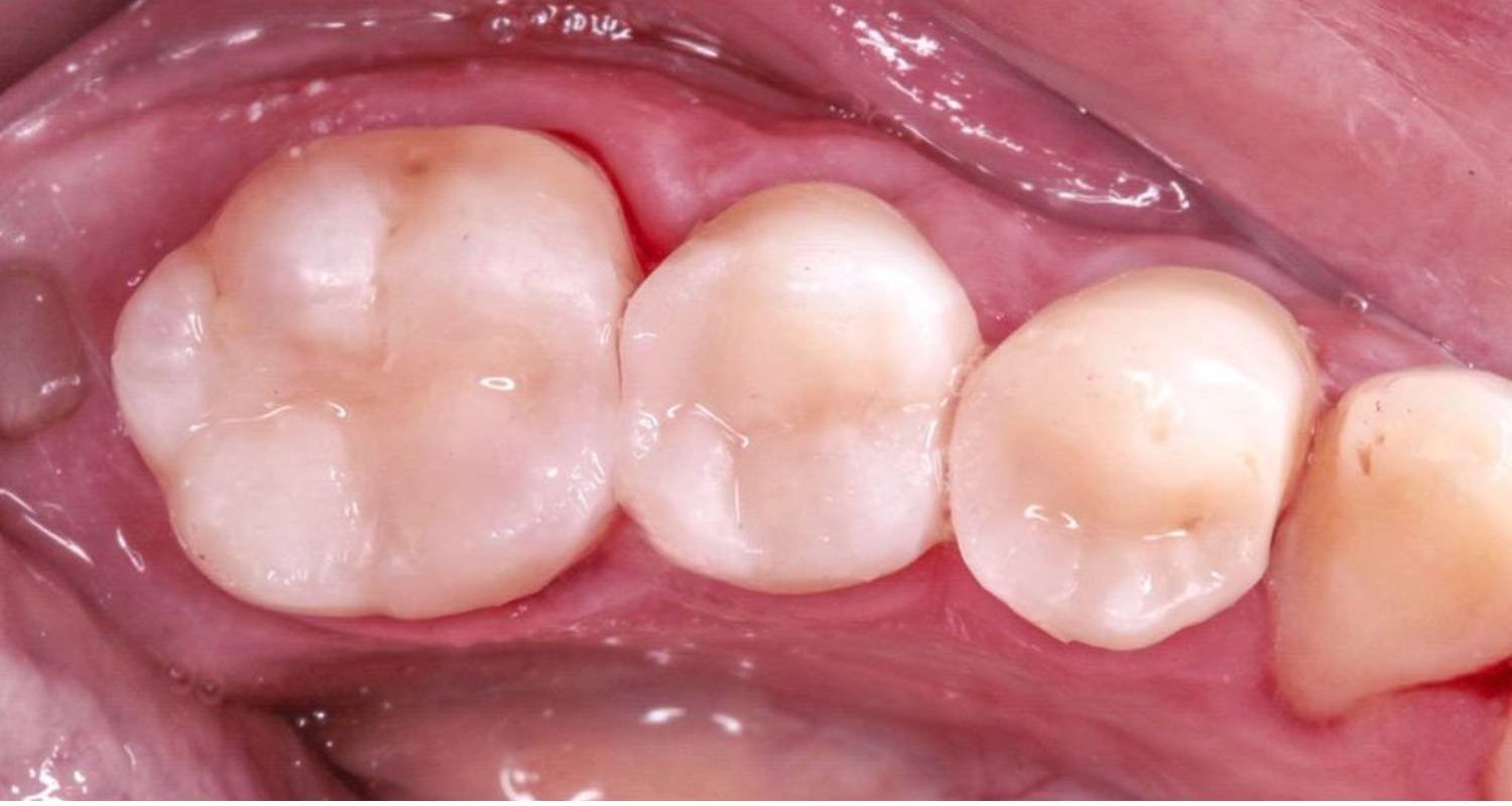
Patients with damaged, decayed, or worn teeth can use dental fillings to repair cavities and restore healthy tooth structure. Composite resin or ceramic can be used for white fillings that blend in better.
Cleaning | Extraction | Orthodontics
In paediatric dentistry, we can help growing mouths from birth to adolescence achieve the best start in dental health, including those with complex orthodontic needs and conditions such as tongue-tie.
Gingivitis | Periodontitis
Depending on the stage of your gum disease, we can recommend treatments that either eliminate the condition or help with receding gums, providing a thorough clean for your mouth and gums.
Pulpitis & Decay | Infections | Re-roots
Endodontics, or root canal therapy, is a procedure that aims to remove infected pulp from the tooth’s root canal, clean the site to preserve the tooth, and prepare it for further restoration.
Porcelain Bonded Metal | Zirconia/E-max
Dental bridges replace partially missing teeth. Although a cheaper replacement method, bridges have seen a decline in popularity due to the rise of dental implants, which last longer.
Inlay | Onlay
Inlays & onlays are frequently used to restore teeth that are heavily damaged by tooth decay or oral trauma. To protect your existing teeth, crowns are placed on top for strength.
Patients who have lost teeth through decay, trauma or extraction can explore dentures to replace a full arch of teeth, or smaller gaps. Implants can also secure dentures.
Scans | X-Rays | Examinations
With no national screening for mouth and oropharyngeal cancer, we provide special appointments to examine for signs of cancer or precancerous conditions




EXCELLENT Based on 585 reviews Posted on Maria ThanTrustindex verifies that the original source of the review is Google. I chose Mint Dental Clinic after searching for various dental clinics offering sedation and I had an incredible experience thanks to the entire team!! I am terrified of the dentist with a phobia of needles, and I avoid going for check-ups to the point where I developed a huge amount of cavities. After my teeth were analysed by Dr Patel's team, they identified that some of them needed urgent fillings. As sedation is expensive, the team was helpful and patient in helping me figure out the right financial plan to tackle everything before my teeth worsened, including adding extra teeth cleaning for free! I had IV sedation twice for two rounds of fillings across a month, and each time I was put at ease despite coming in the clinic with intense anxiety. I cried as I sat in the chair with the IV in my arm due to my fear of needles. They were kind and patient, and the nurses / sedationists helped calm down my breathing despite the panic. I was terrified of being 'awake' but not being able to communicate or breathe. The team was very reassuring in those fears and I had a lovely experience where I remained conscious but with amnesia, so I had 0 trauma afterwards since you have no memory of anything! The team made me feel heard and supported without being judged. They made sure my chaperone knew everything before bringing me home, and all of my teeth are healthy without any complications post-appointment. I am now ready for routine work without the intense fear of dentistry and feel much more ready to start any dental work WITHOUT sedation in the very near future!Posted on AndreaTrustindex verifies that the original source of the review is Google. The whole team at Mint, starting from the moment you walk through the door (or call up) are focused on providing excellent care. Great reception team and Orman especially, always goes that extra mile. My dentists (Dr Mehdi and Dr Alves) are very personable, thorough and ensured everything was explained clearly, and only proceeded once I'd understood and was content. Whilst in the chair, both dentists were checking in making sure I was doing ok throughout it all. Then at the end, checked I was happy and offered an open-door to return, for some tweaks if necessary. I am very happy with the results. I always feel completely at ease for my visits, so much so that I look forward to them. Highly recommend! >Posted on Adeoye OmowumiTrustindex verifies that the original source of the review is Google. I’m always impressed with the level of care at Mint Dental Clinic. They focus not just on treatment but also on prevention, helping you avoid future dental issues. The dentist is fantastic, and front of house is friendly, welcoming approach adds to the great experience.Posted on Gloria FreifeldTrustindex verifies that the original source of the review is Google. Mint Dental Clinic consistently delivers professional, high-quality care. Dr. Patel is exceptional—thorough, gentle, and genuinely attentive. Elizabeth at the front desk always welcomes you with a warm smile, making every visit feel comfortable from the moment you walk in.Posted on Halil EsenTrustindex verifies that the original source of the review is Google. I’ve had an outstanding experience at this clinic. Dr. Raj Patel delivers exceptional quality work and somehow makes every treatment feel completely painless. It’s amazing having all types of dental care under one roof, and the whole team really focuses on prevention rather than quick fixes. After completing my treatment, I now have a healthy, confident smile that still looks natural. The hygienists are fantastic, and every member of the team is warm, professional, and genuinely invested in your wellbeing. If you’re looking for shortcuts, this isn’t the place for you—but if you want thorough, honest, high-quality dentistry, I can’t recommend this clinic enough.Posted on Tahsin ChowdhuryTrustindex verifies that the original source of the review is Google. I’ve had an excellent experience at this dental practice. My hygienist Peter is absolutely brilliant, thorough and incredibly skilled at what he does. He always takes the time to explain everything clearly and makes each visit comfortable. A big shout-out as well to Arman at reception. He’s always friendly, helpful, and efficient, making the whole process from booking to check-in smooth and stress-free. Overall, a fantastic team and a dentist I truly trust. Highly recommend!Posted on Rizwan LimbadaTrustindex verifies that the original source of the review is Google. I inquired about Invisalign's earlier this year at this clinic, as I was quite self conscious of my teeth. I had a very insightful conversation with Arman who gave me a thorough explanation regarding the process, treatment, what to expect results wise, and the cost. This then led me to begin my Invisalign journey, and from start to finish it has truly been seamless, immensely effective, and so beneficial. Dr Sharma did an exceptional job throughout, and helped in understanding the developments to expect, how it occurs, and overall making my experience extremely easy and efficient. The service was immaculate from the receptionists, Dr Sharma and his assistant dentist. Also as of recent, I’ve been getting hygiene checkups by Danica and I must say she has been amazing. She explained the anatomy of my teeth and gums in detail, and made me understand much more about dental hygiene and its cruciality. Overall I have no complaints whatsoever, and will 100% refer this clinic to friends and family, as they produce and prioritise high-quality work and service. Extra shout out to Arman as he’s been extremely helpful, and looked after me very well.Posted on Yassim JamaTrustindex verifies that the original source of the review is Google. I highly recommend this dentist. Dr Patel is an exceptional professional, and my family and I have been attending for many years. Since we moved to the Clinic, even my son, who never liked going to the dentist, now looks forward to his visits. The dental hygienist is also excellent. The reception team provide consistently high service, always polite, welcoming and professional.